Dog Originally Thought to Have Cancer Re-Diagnosed with a Case of Four Teddy Bears in the Stomach
April 24, 2018Maisy the St. Bernard, an adventurous and troublesome eater hailing from Roberttown, near Dewsbury, U.K., was recently brought to the vet by her worried owner Jane Dickinson. The BBC reports that the pet parent knew something was wrong with her 8-year-old dog and was worried it might be serious.
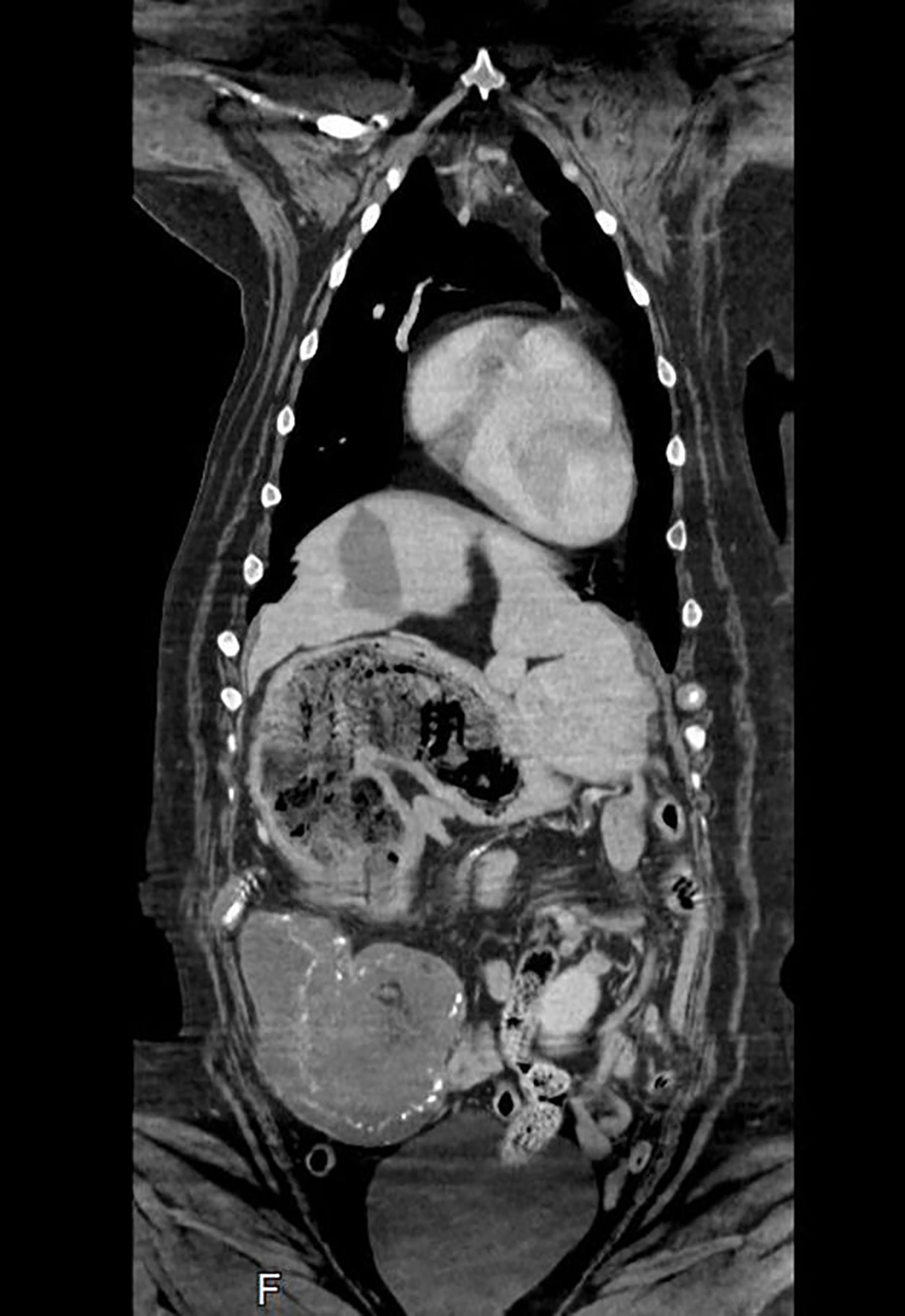
Maisy was given a CT scan by Wakefield-based vet Nick Blackburn of Paragon Veterinary Referrals, who saw the pup was suffering from an unusually full stomach and a mass on her spleen. This led him to make his original diagnosis, which suspected cancer.

Paragon Veterinary Referrals
However, during an operation to remove the dog’s spleen, the vet discovered the plush toys in her stomach.
“This was not something we were expecting to find,” said Dr. Blackburn. “We all know certain dogs enjoy chewing things they shouldn’t, but managing to devour four full teddy bears is quite a feat.”

Paragon Veterinary Referrals
According to Maisy’s mom, the teddy bears were stolen from the dog’s Chihuahua siblings.
The vet is happy to report that Maisy has since made a full recovery from her ordeal. And, luckily, a post-op. histology report showed no indications of cancer.